作者: 艺星整形 文章来源: 武汉艺星医疗美容医院
武汉去眼袋多少钱?很多OL们都有“熊猫眼”的烦恼,严重的眼袋眼纹无论怎么用ORGNITU遮瑕膏都遮不住,天天睡醒看着镜子对着无神的眼睛叹气却又无可奈何。我们必须了解熊猫眼是如何而来,才能有效应对熊猫眼的方法。因为现在不规律的生活习惯,还有整天对着电脑不动弹的工作习惯,脸上的眼袋让我们看上去十分没有谨慎,而且还显老,而随着美容外科业的飞速发展,去眼袋手术的出现让她(他)们不再为此苦恼,于是很多朋友想要做割眼袋手术。那么武汉去眼袋多少钱呢?下面我们就一起来了解下。

武汉去眼袋多少钱?武汉好的整形医院雷云飞告诉我们,去眼袋手术价格并不是个死的数据,它和很多因素有关的。去眼袋多少钱和很多因素有关:
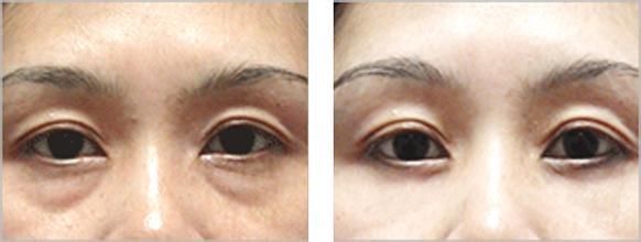
1、去眼袋手术方式有外切法和内切法,这两种手术方式也适用于不同类型的眼袋。
内切法即眼袋抽脂术,适合于年轻人、皮肤无明显松弛的,它是经下睑结膜囊内小切口,去除多余的眶隔脂肪,术后皮肤表面无任何切口痕迹。
外切法彻底,对眼袋及皱纹改善很大,适合于年龄偏大、皮肤松弛、皱纹较多的人,它是从下眼睑睫毛下缘切开,依序切开眼轮匝肌,打开眼眶中隔后将多余脂肪和松弛皮肤切除,后将创口缝合,拉紧皮肤,术后痕迹不明显。
还有属于面部除皱术之一的中面部提升术,对去眼袋的效果也非常好,它的切口与眼袋手术相同,术中将SAMS筋膜提升固定,并同时去除眼袋。通过这个手术,内眼角至鼻翼位置松垂的皮肤能整体提升,不仅将眼袋问题解决,还能有效除皱,一举两得。
术前会结合您自身的眼袋情况来选择术式,其价格也是不一样的。
2、武汉去眼袋多少钱与治疗医院有关:
去眼袋前冷静地选择整形医院是非常有必要的。只要您选择了的医疗机构和来割,多少钱和都是可以放心的。武汉去眼袋多少钱与治疗方法有关:
眼袋有手术方式手术方式主要有眼部吸脂,内路法,外路法几种。内路法手术适合对象年轻有明显下眼袋的病人,内路法去眼袋经过眼内结膜的切口,把过度鼓出的脂肪切除,手术因为不需要皮肤切口,术后可完全迹。
3、武汉去眼袋多少钱与成本的选择有关:
武汉去眼袋多少钱的成本,在市场上并没有统一的标准。据了解,去眼袋在所有的美容整形手术中的收入大约占25%的比例。去眼袋大约多少钱与治疗医院有关:不同的由于由于技术和的不同,去眼袋要多少钱也就不同。
4、武汉去眼袋多少钱与去眼袋有关:
不同的由于技术和经验不同,去眼袋大约多少钱也就不同。
武汉去眼袋多少钱?因为每个医院的医疗设备及医疗技术水平也是不一样的,其价格也是相差较大的。并不是便宜就是好的,只有适合自己的才是好的,毕竟您在意的还是效果和。而的医疗机构管理规范,收费标准,可靠。我们武汉艺星医疗美容门诊部是的美容外科外科,各整形项目收费都是按照国家审查通过的,求美者各自的情况决定了每个人治疗费用的不同。
推荐阅读:
- 上一篇:武汉脱毛好的医院,无毛美腿不再是梦
- 下一篇:武汉螺旋立体吸脂减肥,S身材“嗖”立现

